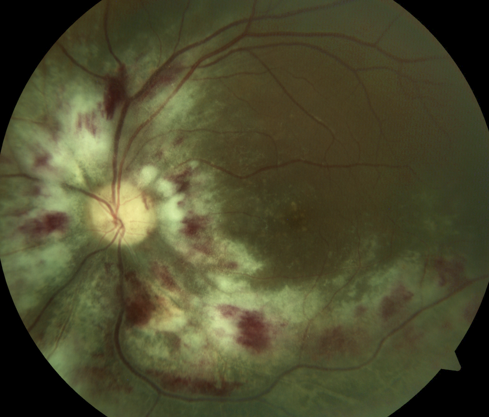
Retinitis por CMV – “Fields of Fire”
Hombre de 37 años con diagnóstico de SIDA, sin tratamiento antirretroviral previo. Recibía tratamiento sistémico por citomegalovirus, así como terapia dirigida a otras infecciones oportunistas, entre ellas, candidiasis esofágica.
La retinitis por citomegalovirus (CMV) es una infección ocular oportunista que afecta a pacientes con inmunosupresión severa. Se presenta en tres formas: fulminante, con necrosis hemorrágica y lesiones blancas o amarillas; granular, con lesiones granulares periféricas y poca necrosis; y perivascular, con angiítis en “rama escarchada” alrededor de los vasos retinianos. El diagnóstico se basa en la historia clínica, hallazgos en fondo de ojo y puede confirmarse con PCR. Es importante diferenciarla de la necrosis retiniana aguda (ARN), causada por virus herpes simplex o varicela-zóster, que afecta principalmente a pacientes inmunocompetentes o con inmunosupresión leve, y se caracteriza por necrosis rápida, vitritis, vasculitis y lesiones bien definidas.
El paciente presentó retinitis por citomegalovirus, en forma fulminante, con afectación macular demostrada por OCT. Fue tratado con terapia sistémica e inyecciones intravítreas de ganciclovir, logrando una respuesta clínica favorable. Actualmente, su agudeza visual es de 20/30.
Dra. Valeria Monsivais Juárez. Dr. Benjamín Aboytes Ríos, Dr. Bruno Taboada Moreno. Servicio de Retina, Hospital Regional ISSSTE, Ciudad de México.
-
Zhang J, Kamoi K, Zong Y, Yang M, Zou Y, Miyagaki M, Ohno-Matsui K. Cytomegalovirus Retinitis: Clinical Manifestations, Diagnosis and Treatment. Viruses. 2024 Sep 7;16(9):1427. doi: 10.3390/v16091427. PMID: 39339903; PMCID: PMC11437412.
“Double Trouble” – Pseudoduplicación del disco óptico
Coloboma del nervio óptico en un paciente masculino de 38 años, con antecedente de estrabismo y retraso del neurodesarrollo.
El coloboma del nervio óptico es la segunda causa más común de malformación en el disco óptico; presenta una localización inferonasal con exposición escleral y, cuando son del mismo tamaño que el nervio, pueden simular el aspecto de una pseudoduplicación. Es bilateral hasta en la mitad de los casos; la agudeza visual dependerá del involucro foveal. Pueden provocar nistagmo y/o estrabismo sensorial, además de complicaciones como desprendimiento de retina, debido a la terminación anormal de ésta. Se asocia con malformaciones oculares como: megalocórnea, aniridia, catarata y/o ptosis, y malformaciones sistémicas como síndrome de CHARGE (hasta en 1/8 pacientes con colobomas).
Dr. Federico Fernando Martínez Guadarrama. Residente de primer año del Hospital Militar de Especialidades Oftalmológicas, Ciudad de México.
-
Lyons CJ, Lambert SR, editores. Taylor and Hoyt’s Pediatric Ophthalmology and Strabismus. 6a ed. Londres, Inglaterra: Elsevier Health Sciences; 2022. pp 642,643.
-
Xu Y-X, Fu Y-H, Wen M, Lu F, Yang Y, Sha J, et al. A case report of bilateral pseudo-doubling of the optic discs. Ann Palliat Med. 2022;11(7):2510–5. Disponible en: http://dx.doi.org/10.21037/apm-21-1087
Corectopia e hipoplasia de iris – “Distorted reflection”
Corectopia, hipoplasia de iris y embriotoxon posterior en un paciente femenino de 23 años, con diagnóstico de Síndrome de Axenfeld-Rieger y glaucoma secundario de ángulo abierto.
El síndrome de Axenfel-Rieger es una disgenesia autosómica dominante del segmento anterior, con penetrancia incompleta, provocada por una migración, proliferación y diferenciación anormal de las células de la cresta neural. Tiene una prevalencia mundial de 1 por cada 200 mil personas.
El diagnóstico es clínico, con la presencia de 1 o más hallazgos típicos como el embriotoxon posterior, presente en un 85 % de los casos, y corectopia. A nivel sistémico, presenta alteraciones dentales (microdoncia), faciales (hipotelorismo) y umbilicales.
Dra. María José Sarmiento González. Residente de segundo año del Instituto Mexicano de Oftalmología, Ciudad de México.
-
-
-
- Meire FM, Delleman JW. Ophthalmic Paediatr Genet 1992 Jun;13(2):123-9. doi:10.3109/13816819209087612.
- Toulemont PJ, Urvoy M, Coscas G, Lecallonnec A, Cuvilliers AF. Association of congenital microcoria with myopia and glaucoma. A study of 23 patients with congenital microcoria. Ophthalmology. 1995;102(2):193-198. doi:10.1016/s0161-6420(95)31036-6
- Tawara A, Itou K, Kubota T, Harada Y, Tou N, Hirose N. Congenital microcoria associated with late-onset developmental glaucoma. J Glaucoma. 2005;14(5):409-413. doi:10.1097/01.ijg.0000176931.29477.6e
- Fares-Taie L, Gerber S, Tawara A, et al. Submicroscopic deletions at 13q32.1 cause congenital microcoria. Am J Hum Genet. 2015;96(4):631-639. doi:10.1016/j.ajhg.2015.01.014
-
-




